Skip Menu
Continue
  • 2118 Albany Post Road,
  • Montrose, NY 10548
  • Home
  • About Us
    • Our Office
    • New Patients
    • Testimonials
  • Our Doctors
    • Sang H. Moon, DDS, FICOI
    • Caroline Hanna, DMD
  • Services
      • Crowns & Caps
      • Dental Bridges
      • Dental Fillings
      • Dentures
      • Digital Radiography
      • Extractions
      • Implant Placement
      • Invisalign®
      • Oral Exams
      • Pediatric Dentistry
      • Periodontal Treatment
      • Preventive Program
      • Root Canals
      • Teeth Whitening
    • View All
  • Dental Health
  • Contact
  • Request Appointment

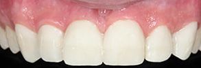
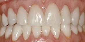
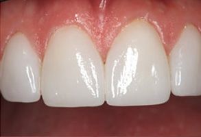
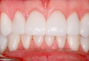
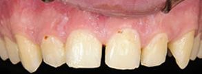
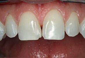
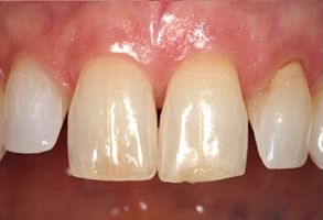
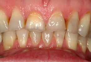
Smile Gallery

Additional Information

Our Location

2118 Albany Post Road
Montrose, NY 10548
(914) 739-1300

Follow Us

icons icons icons icons